研究 (Research)
最終更新日:
マクロファージに着目した早期肺がんへの新規医療展開 (Novel medical development for early-stage lung cancer focusing on macrophages)
准教授 松井 崇浩 (医学系研究科 病理診断科)、教授 石井 優(医学系研究科 免疫細胞生物学) MATSUI Takahiro (Graduate School of Medicine), ISHII Masaru (Graduate School of Medicine)
研究の概要
当グループは「肺がんモデルマウス」と、細胞の遺伝子発現を網羅的に定量する「RNAシークエンス」を用いた研究を行いました。
そして、「肺胞マクロファージ」という肺だけに常在している免疫細胞が、肺がんの環境ではアクチビン A というタンパク質を正常時よりも多く産生しており、肺がん細胞はこのタンパク質を巧みに利用して肺がんの増殖をむしろ促進させてしまう悪循環を形成していることを、世界で初めて明らかにしました。
研究の背景と結果
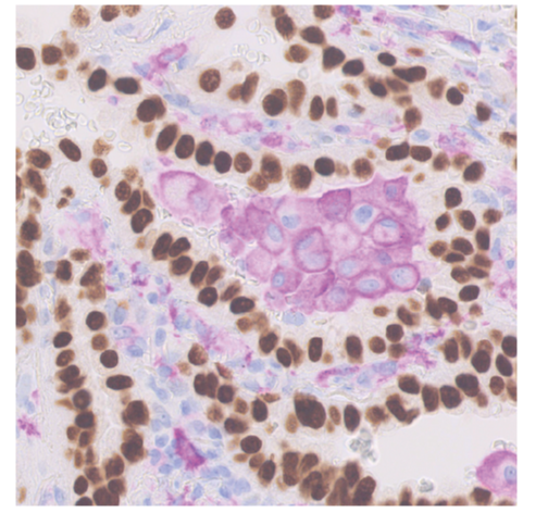
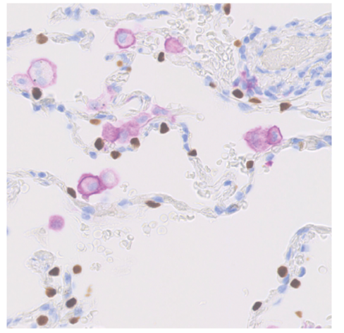
ヒトの体は病原体等の異物を排除するために免疫システムを利用していますが、がん細胞の排除にも同様の免疫システムが働いていることが知られています。がんの環境には、がん細胞の他に、リンパ球やマクロファージ、好中球などの多彩な免疫細胞が存在しており、がんに対する免疫システムを構築していると考えられています。正常の肺に最も多く分布する免疫細胞として肺胞マクロファージが知られており、この細胞も肺がんの環境では何らかの影響を肺がん細胞に与えているのでは、と考えられていました。
しかし、肺胞マクロファージは肺だけにしか存在しておらず、肺がんの環境を詳細に研究できる実験系を構築することが難しい、という課題がありました。そのため、肺胞マクロファージが肺がん細胞とどのような相互作用をしているのかについては、これまでほとんど解明されていませんでした。
今回研究グループは、外科的な手法を使ってマウス生体内に肺がんを構築する「肺がんモデルマウス」を用いて研究を行いました。そして、マウス生体内から肺胞マクロファージを枯渇させてしまうと、肺胞マクロファージが保たれた場合よりも、肺がんの増殖が緩やかになることを見出しました。
そこで次に、肺胞マクロファージの RNA 配列を読み取って、遺伝子発現を網羅的に定量する「RNA シークエンス」を行いました。その結果、肺胞マクロファージは肺がん組織ではアクチビン A というタンパク質を産生し、これが肺がんの増殖を促進していること、アクチビン A を抑制することにより、肺がんの増殖が緩やかになることを解明しました。さらに、ヒトの肺がん組織でも解析を行い、特に早期がんの場合において、肺胞マクロファージがアクチビン A を発現していることが確認されました。
研究の意義と将来展望
この研究成果により、肺胞マクロファージの産生するアクチビンAの阻害が、肺がんの治療候補と考えられ、創薬を含めた医療応用が期待されます。
また、この研究で解明された肺胞マクロファージのメカニズムは、早期の肺がんの段階から確認されており、肺胞マクロファージとアクチビンAに着目することで、肺がんを早期に診断することにも貢献できると考えられます。さらに、アクチビンAの阻害は、早期がんから進行がんへの進展を抑えることにも有用であると考えられ、肺がんを早期の段階で手術により根治する機会を増やすことにも貢献できると期待されます。


担当研究者
准教授 松井 崇浩 (医学系研究科 病理診断科)、教授 石井 優(医学系研究科 免疫細胞生物学)
キーワード
肺がん/マクロファージ/早期発見/早期治療
応用分野
医療・ヘルスケア、創薬
参考URL
https://resou.osaka-u.ac.jp/ja/research/2023/20230117_1
https://researchmap.jp/takahiromatsui
https://researchmap.jp/read0076684
